Путь к красоте и здоровью ваших зубов открыт, прежде всего, через профессиональную гигиену полости рта.

Процедура для вас и ваших зубов включает в себя снятие зубных отложений с помощью специального оборудования, инструментов, коррекцию мануальных навыков при гигиене полости рта в домашних условиях и составление индивидуальной программы профилактики заболеваний зубов и десен для поддержания яркости и красоты вашей улыбки.

При регулярном проведении процедуры профессиональной гигиены полости рта снижается риск возникновения гиперчувствительности эмали, кариеса зубов и воспаления десен. Поскольку каждый человек уникален в своем образе жизни и своих особенностях, регулярность процедуры подбирается индивидуально.
Профессиональная гигиена полости рта
Стоимость лечения: 2400 руб.
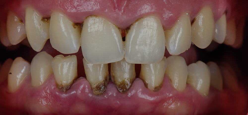
ДО ПРОЦЕДУРЫ
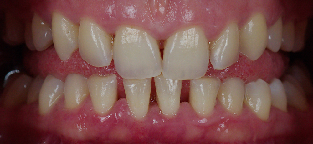
ПОСЛЕ ПРОЦЕДУРЫ
Удаление зубных отложений, полировка пастой 12 зубов
Полировка верхней и нижней челюсти
Стоимость лечения: 3800 руб.
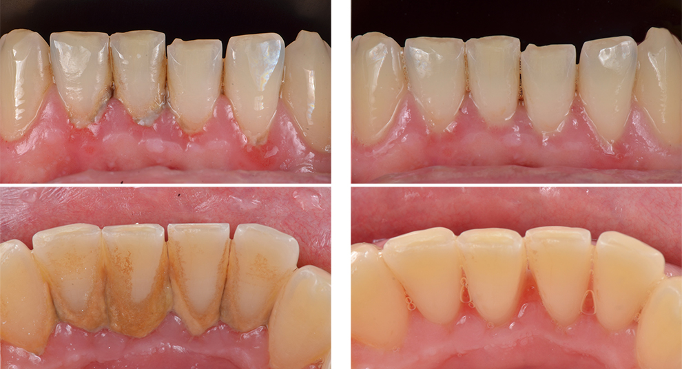
ДО ПРОЦЕДУРЫ
ПОСЛЕ ПРОЦЕДУРЫ
Удаление твердых наддесневых и поддесневых зубных отложений
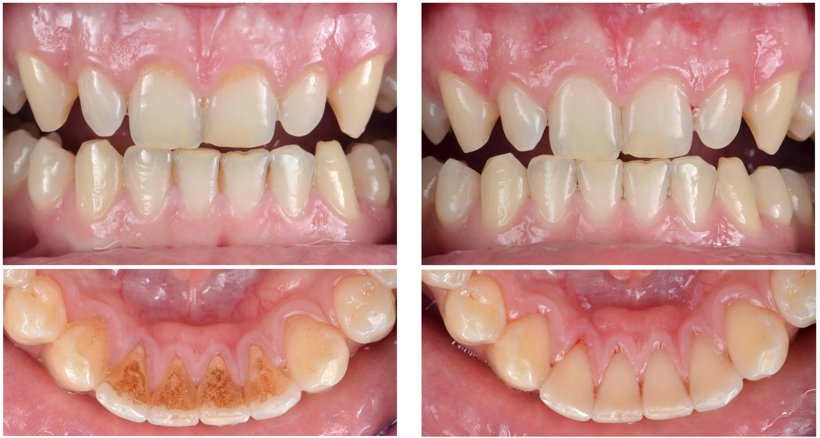
Стоимость лечения: 1350 руб.
полировка зубов одной челюсти пастой, 6 зубов
ДО ПРОЦЕДУРЫ
ПОСЛЕ ПРОЦЕДУРЫ
Left
Right
Записаться к врачу на консультацию
Тихомирова Мария Михайловна
гигиенист стоматологический
Записаться на лечение
Оставьте свои контакты, мы перезвоним в ближайшее время и запишем Вас на приём к Тихомировой Марии
Заполняя свои данные в форме, я даю согласие на обработку персональных данных
Записаться на лечение
Отправьте нам свой контакт, мы перезвоним
и выберем вместе удобное время консультации
Заполняя свои данные в форме, я даю согласие на обработку персональных данных
Записаться
на лечение
Отправьте нам свой контакт, мы перезвоним и выберем вместе удобное время консультации
Заполняя свои данные в форме,
я даю согласие на обработку персональных данных