Реставрация зубов – это возможность исправить небольшие дефекты зуба, например, темные пятна или трещины на эмали, небольшие сколы или слишком большую щель между передними зубами – словом, все те проблемы, которые портят внешний вид улыбки. В отличие от протезирования, такой вид восстановления зубов намного доступнее по цене, поскольку основой выступает собственный зуб.

Реставрация зубов – это своего рода искусство. С помощью специальных материалов врач должен сымитировать форму и цвет собственного зуба, чтобы восстановленные участки никак не отличались от натуральных. .
Эстетическая коррекция передних зубов 6-ю винирами
Стоимость лечения: 96000 руб.
ДО ЛЕЧЕНИЯ
ПОСЛЕ ЛЕЧЕНИЯ
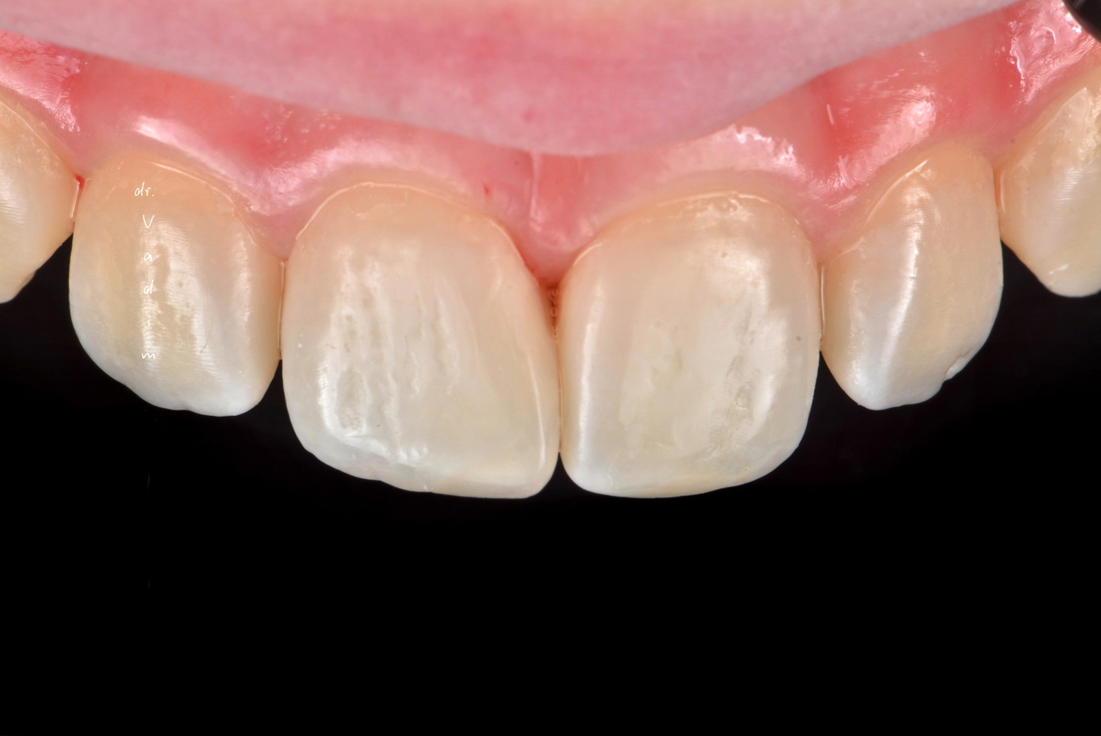
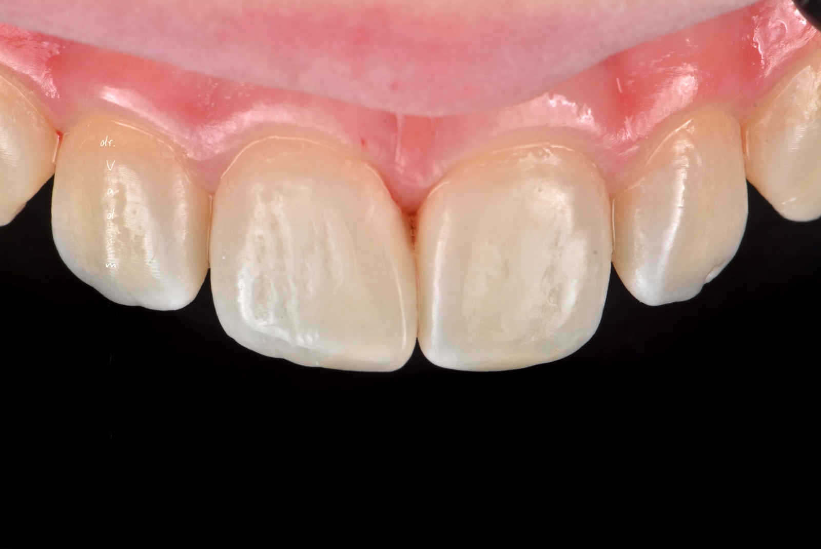
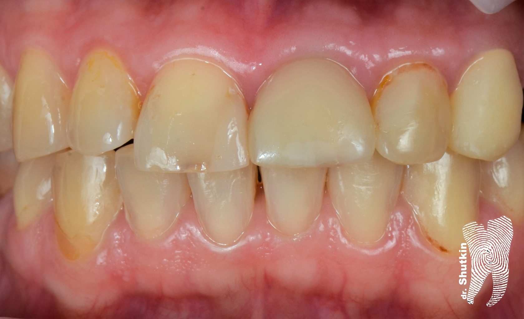
Реставрация верхнего центрального зуба пломбировочным материалом.
Стоимость работ: 5000 руб.
ДО ЛЕЧЕНИЯ
ПОСЛЕ ЛЕЧЕНИЯ
Реставрация фронтальной группы зубов верхней челюсти коронками из прессованной керамики.
6 зубов от клыка до клыка.
Стоимость лечения: 96000 руб.
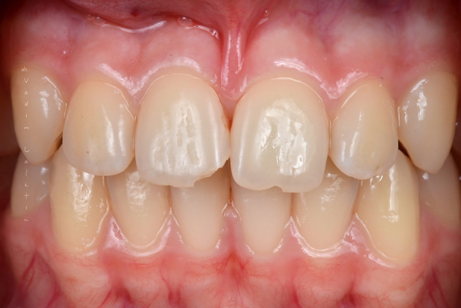
Реставрация верхнего центрального зуба пломбировочным материалом.
Стоимость работ: 5000 руб.
ДО ЛЕЧЕНИЯ
ПОСЛЕ ЛЕЧЕНИЯ
Кликните на фото, чтобы посмотреть детально весь процесс лечения
Left
Right
Left
Right
Реставрация верхнего центрального зуба пломбировочным материалом
Стоимость лечения: 5000 руб.
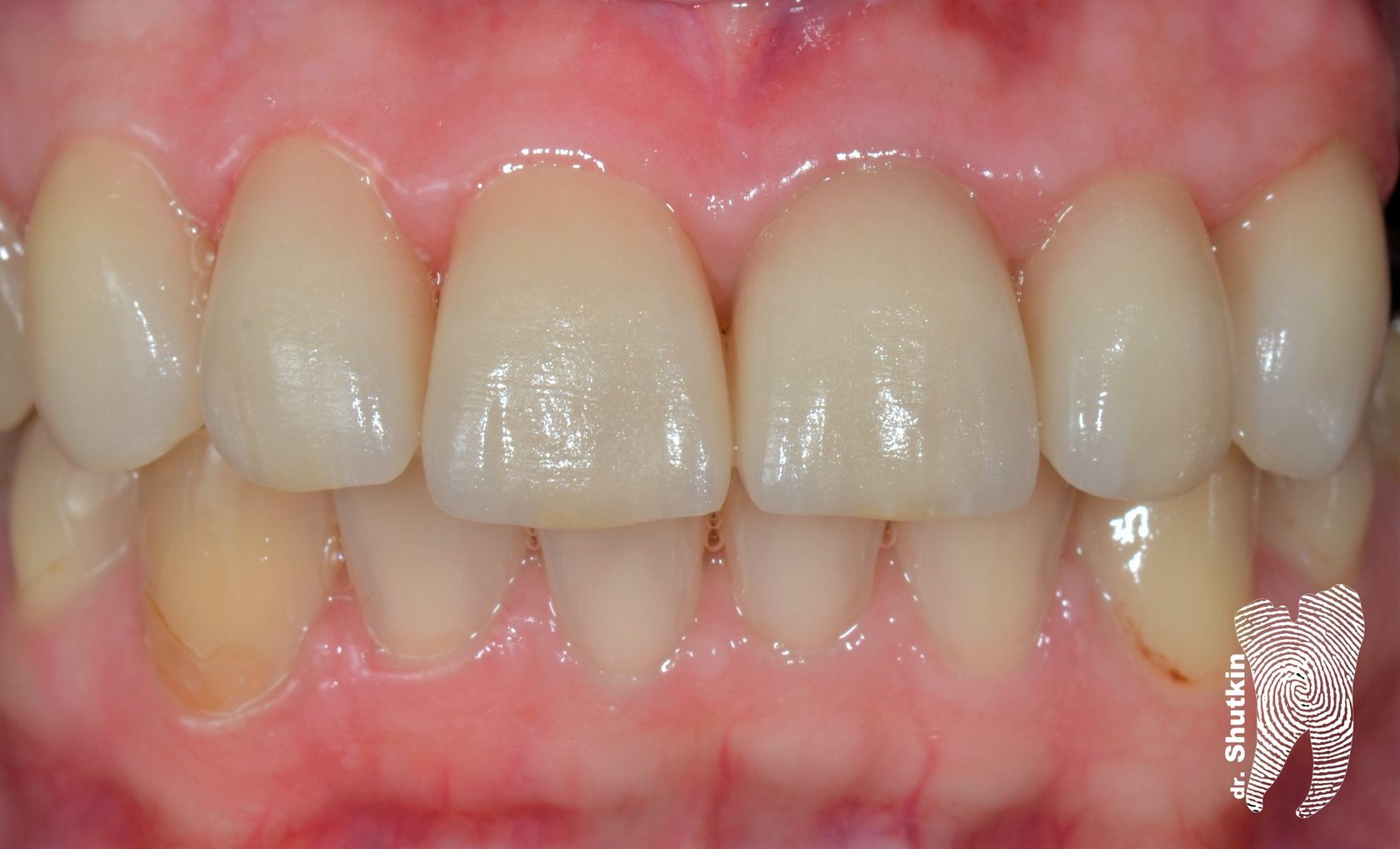
Реставрация верхнего центрального зуба пломбировочным материалом.
Стоимость работ: 5000 руб.
ДО ЛЕЧЕНИЯ
ПОСЛЕ ЛЕЧЕНИЯ
Кликните на фото, чтобы посмотреть детально весь процесс лечения
Left
Right
Left
Right
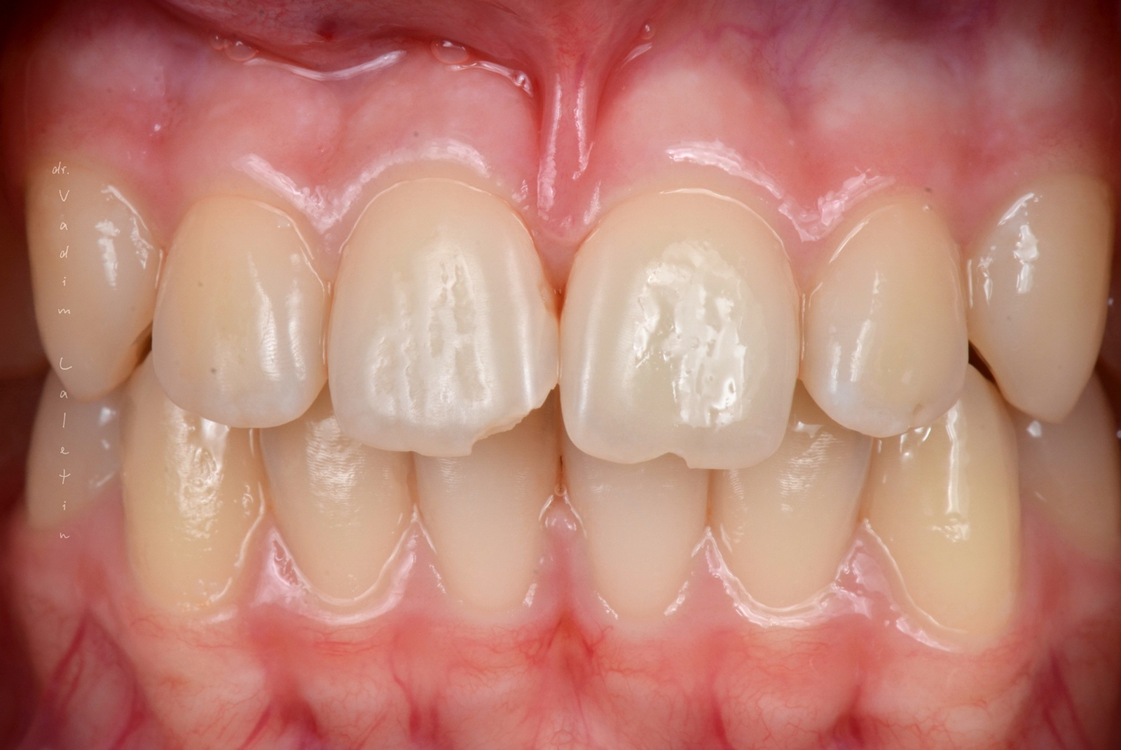
Реставрация верхнего центрального зуба пломбировочным материалом.
Стоимость работ: 5000 руб.
ДО ЛЕЧЕНИЯ
ПОСЛЕ ЛЕЧЕНИЯ
Восстановление скола зуба методом прямой реставрации
Стоимость лечения: 5150 руб.
Записаться на лечение
Отправьте нам свой контакт, мы перезвоним
и выберем вместе удобное время консультации
Заполняя свои данные в форме, я даю согласие на обработку персональных данных
Записаться
на лечение
Отправьте нам свой контакт, мы перезвоним и выберем вместе удобное время консультации
Заполняя свои данные в форме,
я даю согласие на обработку персональных данных